EN
FR AR

AI Portfolio

Hckonnect

Deepdx® prostate

Pathology diagnosis assistance software

Pathology
Hckonnect
Hckonnect

Automatic Screening for Cancer and Reading Time Reduction

Mental fatigue from hours spent on traditional microscopes means extended analysis times and misdiagnosis risks.

DeepDx® Prostate takes 30 seconds to run an AI analysis (per core), and improves accuracy with 99% sensitivity and 97% specificity.

Length measurement and Gleason scores can be generated automatically.

This solution enables pathologists to process more cases in less time and reduces misdiagnosis risks.

Hckonnect

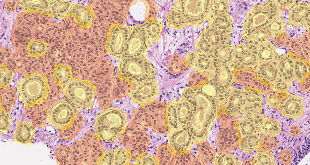
Reducing Subjective Interpretation and Increasing Results Dependability

Interpreting slides can be subjective, which creates diverging opinions among pathologists, differences in the Gleason scores and percentages of each Gleason pattern, and measurements of the tumoral regions.
DeepDx® Prostate identifies cancer severity, coloring tissue regions based on Gleason pattern classification results, and suggests Gleason scores and grade group.

The solution highlights the cancerous lesions of the Gleason pattern 3, 4, and 5 and generates 3 different colored overlays on the slide images.

The proportions of each Gleason pattern out of the total tumor area and tumor-to-tissue ratios are automatically quantified.

Users can also consult Al on hand-picked regions to obtain quick feedback on the region of interest.

Automatic Reportingt

Pre-filled pathology reports are generated once slides are analyzed using DeepDx® Prostate. Clinically significant information included in the pathology report includes:

   •   Gleason scores
   •   Relative proportions of each Gleason pattern
   •   Percentage involvement of cancer in tissue

Quantitative metrics such as tumor-to-tissue ratios and Gleason pattern ratios are recalculated in real-time as annotations are made.

Sample images representative of the cancer found in a slide.

Share and Collaborate on Slides with Other Pathologists

DeepDx® Prostate Connect is DeepDx® Prostate on the web.
DeepDx® Prostate can be offered as a web-based version allows secure sharing of slides, discussions and annotations amongst medical experts and streamlines communication.

Can be seamlessly integrated into existing LIMS (Lab Information Management Systems), PACS, or hosted on image management platforms.

Shows entire slide in different magnifications on the monitor and provides multiple image control functions & features.

Enables pathologists to view the slides and work from anywhere at any time.

DeepDx® Prostate has undergone multiple clinical validations. The studies were published in peer-reviewed medical journals such as npj Digital Medicine, Cancers, and Modern Pathology extensively tested: over 700k cores analyzed between 2019 and 2021.
Hckonnect

Hillel Kahane

MD, StarPath Founder

This tool is very helpful for quality assurance in that it enables the pathologist to re-look at areas that they did not annotate originally, but that the AI algorithm did, and determine if there are additional areas of interest that require their attention.

1/1

Related products

View all products