EN
FR AR

AI Portfolio

Hckonnect

Cervical cytologie

Pap Smear assistance for diagnosis

Microbiology
Hckonnect

Automatic Screening for Cancer and Reading Time Reduction

Mental fatigue from hours spent on traditional microscopes means extended analysis times and misdiagnosis risks.

The Techcyte Cervical Cytology Test (Papanicolaou test) leverages deep machine learning to categorize cells and organisms defined in the 2014 Bethesda System in 30 seconds.

Organisms

  • Trichomonas Vaginalis
  • Candida
  • Clue Cells
  • Actinomyces Spp.
  • Herpes Simplex

Non Neoplastic

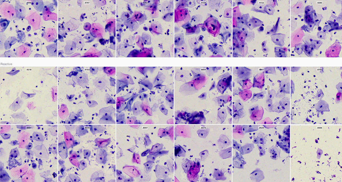
  • Atrophy
  • Reactive
  • Radiation
  • Endometrial

Atypical Squamous

  • ASC-US
  • ASC-H
  • LSIL
  • HSIL
  • Carcinoma

Glandular Cells

  • Atypical Glandular – NOS
  • Atypical Glandular – Favor Neoplastic
  • Endocervical Adenocarcinoma In Situ
  • Adenocarcinoma
    - Endocervical Adenocarcinoma
    - Endometrial Adenocarcinoma
    - Extrauterine Adenocarcinoma
    - Adenocarcinoma – NOS
  • Typical Endocervical Cell

Other

  • Neutrophil Cell
  • Erythrocyte
The Techcyte Cervical Cytology Test (Papanicolaou) analyzes any good-quality 40x image in 30 seconds. Slides must be created using a liquid-based preparation. At this time, conventional manually-prepared pap smears are not supported because of their unpredictable nature.

Publications

Techcyte for Cervical Cytology
https://id.elsevier.com/as/authorization.oauth2/html

Related products

View all products